鱼类酶和组织病理生物标志物:发现水生污染隐患的“探测器”!
<<——【·前言·】——>>
水生环境的污染问题已经引起了广泛关注,鱼类作为水源中的重要生物指标,对水环境质量的变化具有相当敏感性.
研究表明酶和组织病理生物标志物在鱼类中的应用,可以作为评估水环境污染程度和监控生态系统健康的有效手段。

酶包括氧化还原酶、解酸酶、过氧化物酶等,而组织病理生物标志物则包括细胞溶解、组织坏死等指标。
这些指标可以反映出鱼类对污染物质的生理、生化和组织学损伤程度,进而判断水体中存在的污染物种类及其污染程度。
因此,对鱼类中酶和组织病理生物标志物的检测,成为了当前研究水生环境污染问题的重要方向之一。

<<——【·鱼类酶活性对环境毒化物质敏感性·】——>>
在过去的几十年中,淡水被多种污染物污染已成为一个令人担忧的问题,水污染是埃及尼罗河所面临的主要环境和公共卫生问题,尼罗河代表了该国的主要淡水资源,满足了几乎所有饮用水、灌溉和工业的需求。
在通过埃及时,尼罗河接收到许多非点源和点源排放,即使进行了许多有关水污染的研究,对于污染对水生生物的生物学影响的信息仍不足且存在许多空白。

鱼类一直是最受欢迎的测试生物,也是用于监测水生生物毒性的最佳选择,因为它们是水生环境中最了解的生物之一,其高度活动性使其能够评估大规模、区域性影响,并因其作为蛋白质来源而对人类重要。
生化和生理指标如酶可以被用作生物标志物,以在水生生物的健康受到严重影响之前识别可能的环境污染并开发水质指数。
这种生物化学方法已被提出,用于提供对受压力的鱼类潜在有害变化的早期警报。

在急性暴露的毒理学研究中,一些酶浓度和活性的改变可能反映特定器官细胞损伤,葡萄糖-6-磷酸去氢酶(G6PDH)长期以来一直被认为是一种抗氧化酶,是哺乳动物癌变标记物的相关标志,也是污染引起癌变的鱼类生物标志。
细胞质酶乳酸脱氢酶(LDH)广泛用作毒理学和临床化学中器官或组织损伤的标志,这个酶通常反映了一个组织的代谢能力,G6PDH和LDH是代谢中的关键因素,对污染具有高敏感性。
改变的形态或结构是病理学家检查的疾病进程的表现,组织病理学是对这些疾病进程的显微镜评价,它是一个非常强大、主观的工具,可用于在鱼群中建立一次和二次疾病模式。

<<——【·毒素引起的鱼类组织病变及生物标志物意义·】——>>
埃及尼罗河的水质和非洲鲶肝脏、肌肉组织中的代谢酶活性,水样分析结果表明,尼罗河的pH值在7.8至8.4之间,电导率从阿斯旺到达米埃塔支流的值呈显著增加趋势。
COD和TOC在罗塞塔支流的水中高于其他几个地点,并且其中COD的含量已经超过了允许的极限,除氟化物含量外,所测选定金属元素的值均低于允许限值,铅、铬、汞和镉的含量在罗塞塔和达米埃塔支流的水中超过了标准。

该研究还测定了非洲鲶肝脏和肌肉中两个代谢酶(G6PDH和LDH)的活性,结果表明同一地点采集的鱼的肌肉中的G6PDH和LDH的活性都比肝脏要高,而鱼肝脏和肌肉中这两种酶的活性从阿斯旺依次降低至达米埃塔和罗塞塔支流。
在整个尼罗河的非洲鲶组织中,都检测到了明显的结构变化,这些变化的程度取决于污染水平的不同。

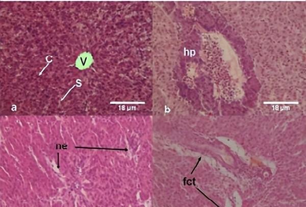
检验的鱼的肝脏的组织病理学变化包括肝细胞的不规则排列、胞质内的液泡化和坏死,从达米埃塔和罗塞塔收集的鱼中观察到一些小区域和着色的细胞元素的退化,并且伴随纤维连接组织的渐进性增加。
还在某些鱼的肝脏组织中检测到白细胞浸润(inf)和出血(hem),从达米埃塔和罗塞塔分支收集的鱼中观察到急性和广泛的肝细胞液泡化(vac)和坏死(nec),还检测到中央静脉扩张伴随着血液淤积(bc)。

光学显微镜下观察正常鳃的照片显示了鳃板的排列,在中央是一个软骨支撑杆和血管,有一些窦性血液空隙的痕迹,主要鳃板(P)在顶端是圆形的,而突出的次生鳃板(S)明显地被间隔开。

<<——【·酶和组织病理生物标志物的应用·】——>>
从尼罗河采集的鱼的鳃的组织学变化包括主要和次要鳃板重叠,因此鳃板之间的空隙被堵塞了,这些变化使得中央的支持杆和边缘的次级鳃板接近,形成了肥大的结构。
在病理学方面,从达米埃塔和罗塞塔分支收集的鳃有一些弯曲、扭曲或者坏死的鳃丝,这些形态学和组织学的变化表明水体污染可能导致鱼类呼吸系统功能减退。

通过研究鱼的组织学变化,发现了尼罗河中一些地方的水质受到污染。
这些变化表现在鳃板上,软骨支撑物质萎缩导致鳃板变薄变模糊,也使鳃板整体缩小,在Rosetta和Damietta分支处,上皮组织因细胞溶解而被破坏。
鳃丝上观察到了明显的严重变性和坏死的变化,细胞内空泡的增加是水肿变化开始的信号,同时在鳃丝的血管中也发现了扩张和充血等改变,鳃板进一步收缩,使软骨中心完全隐没。

经过调查发现,尼罗河中一些地方的水质受到严重污染,其中来自Rosetta和Damietta分支处的水样中检测到的大多数污染元素。
选择的金属在所有采集地点的水中均低于准许限值,但相对于其他地点,Rosetta和Damietta分支的水中这些金属的含量仍然更高,其中铅、镉、铬和汞的浓度超过准许限值。

这些结果证明了Rosetta和Damietta分支的水体中存在大量有机和无机污染物,并且饮用水、农业废水和工业废水排放未经充分处理。
酶活性的改变被认为是提供受压力的鱼类潜在危害变化的早期警示信号,G6PDH和LDH的改变活性可以作为水污染的生物标记物。

结果记录下了非洲鲶组织中所选酶活性的显著改变,这些改变与Rosetta和Damietta分支水中检测到的水化学参数的升高成正比。
这表明这些地区污染应力导致了重要的碳水化合物和蛋白质代谢变化,这些代谢关键酶在组织中发生了明显变化。
还发现肝脏和肌肉中的G6PDH活性从阿斯旺到Rosetta和Damietta显著降低,其中Rosetta的最低值比Damietta还低。

<<——【·受毒素污染LDH活性下降·】——>>
此前也观察到一些受毒物暴露的鱼类的肝脏和肌肉中G6PDH活性下降,因此观察到的G6PDH活性降低可能反映出污染应力后的代谢失衡,与NADPH有限可用相关。
LDH是某些鱼类产生突然爆发的游泳能力的重要因素,它在红肌肉中存在大量,该酶通常反映组织长期暴露于污染水体后的代谢能力。

在应激条件下,这种酶通常反映出组织的代谢能力,LDH催化丙酮酸转化为乳酸,是厌氧糖酵解的末端酶,从Rosetta和Damietta分支收集的鱼组织与其他站点相比,LDH的活性显示出明显的增加。
LDH的活性通常与细胞代谢活动相关,起到糖酵解途径和三羧酸循环之间的关键酶作用,因此,LDH升高可能暗示了厌氧糖酵解途径的偏向,换句话说,乳酸去氢酶活性的变化可能表明非洲鲶在应激条件下转向厌氧代谢的能力。

肝脏是LDH最丰富的来源之一,即使少量受损肝组织的酶渗漏,也会显著增加LDH的观察水平。
暴露于一些污染物后,酶活性的增加被解释为肝细胞破坏和细胞通透性的增加,从而导致酶从受损的肝细胞泄漏到血清中。

通过确定组织学改变和损伤严重的非洲鲶肝细胞的结果证实了这些酶活性的改变,显示出非洲鲶肝脏和鳃的组织病理学改变。
这些非洲鲶采自整个尼罗河的不同地点,鱼器官的组织病理标志物是环境污染的有用指标。

事实上,组织学研究被认为是对鱼类任何不良影响的直接指示,已经在非洲鲶的组织中检测到许多组织学病变。
非洲鲶的肝脏显示出肝细胞变性、坏死和炎症细胞聚集、血窦舒张和充血以及纤维化。

鳃是鱼体内与外界紧密接触的重要器官,对水质的变化特别敏感,因此当水体中存在污染物时,鳃往往成为其主要靶标。
在受到污染物影响时,鳃上的细胞会出现一些损伤,如上皮增生和坏死等,这会影响到气体交换和离子调节功能。

<<——【·使用酶和组织病理生物标志物合理利用水资源·】——>>
鳃板水肿也是一个常见的病变,这可能是由于毛细血管通透性增加导致的。
为了应对这种情况,鱼体会通过融合次级鳃片等防御机制来增加鳃板与水环境之间的距离,减少污染物进入体内的机会。

由于鳃板上皮间隙的增加,氧分子的摄取受到影响,就会降低氧气的输入量。
虽然这会对鱼体造成危害,但是鱼有机会通过提高呼吸频率进行补偿和适应,在感受污染物后,鱼体内的某些代谢酶活性也会出现改变。

通过检测氧化葡萄糖醛酸6-磷酸脱氢酶和乳酸脱氢酶的活性,这些代谢酶变化可作为一种有用的生物标记,在鱼类养殖和环境管理中用于调查污染物对水中鱼类的影响。
在罗塞塔和达米埃塔支流收集的鱼体组织中,鱼体组织有相关病变,而在其他地区捕获的鱼体组织中也有一些相同的异常记录。
这表明组织学研究可以作为对底层毒性压力的一个可靠、易于量化的指标,用于精确评估环境污染的程度。

这些组织中酶的变化和病理学病变可能直接受到与尼罗河排放有关的工业、农业和家庭废弃物产品的影响。
在环境中,水是生命之源,但随着工业化和城市化的发展,水污染成为我们面临的一大问题。
鱼作为水生生物中的重要代表,其身上记录了环境的变迁,近年来酶和组织病理生物标志物已经成为评估水生污染程度的有力手段。

<<——【·结论·】——>>
通过对鱼体内的酶活性和病理组织进行分析,可以发现当水体受到污染时,鱼类会产生相应的反应。
酶活性的变化可以呈现出水生环境中不同化学物质的毒性及其暴露时间,而病理组织的异常也可以为我们提供更直观、更可量化的信息,比如说明鳃受损致使鱼缺氧等情况。

酶和组织病理生物标志物的研究可以为我们提供一个清晰、准确的态势判断水体的污染程度。
可以使用这些生物标志物监测污染源,并描述环境改善的效果,这些都将有助于我们制定更加科学合理的环保政策,安全并适宜地利用水资源。

总之,酶和组织病理生物标志物将在未来的水环境监测中发挥重要作用,我们应该重视水环境的保护,力求减少并最终消除污染,以确保人与自然的和谐共存。
参考文献:
[1] Canli, M. and Kalay, A. (1998) Level of heavy metals (Cd, Pb, Cu, Cr and Ni) in tissue of Cyprinus carpio, Barbus capito and Chondrostoma regium from the Seyhan River, Turkey. Turkish journal of zoology, 22, 149-157.
[2] Vutkuru, S. (2005) Acute effects of Hexavalent chromium on survival, oxygen consumption, Hematological parameters and some biochemical profiles of the Indian Major Carp, Labeo rohita. International Journal of Environmental Research and Public Health, 2, 456-462.
[3] Anwar, W.A. (2003) Environmental health in Egypt. International journal of hygiene and environmental health, 206, 339-350.
[4] Osman, A.G.M., Al-Awadhi, R.M., Harabawy, A.S. and Mahmoud, U.M. (2010) Evaluation of the Use of Protein Electrophoresis of the African Catfish Clarias gariepinus (Burchell, 1822) for Biomonitoring Aquatic Pollution. Environmental Research Journal, 4, 235-243.

