04年云南26岁女子尿血,发现体内有26根缝衣针,医生:1岁前扎的

2004年10月18日,家住云南省的罗翠芬,在为家人准备早餐的时候突然晕倒。得知情况的丈夫,赶忙将她带到了省城里的医院救治。
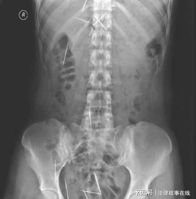
“我从医数十年了,可这样的病症还是第一次见!”大夫拿着检查片对罗翠芬的丈夫说道:“你妻子的体内有26根缝衣针,分布在全身额各个地方,必须立即取出来,不然会有生命危险”。听到这些话罗翠芬的丈夫满脸疑惑。

妻子体内有缝衣针,还多达26根。这到底是怎么一回事?到底是什么人对她下的毒手呢?
发现二十六根缝衣针
罗翠芬是云南嵩明县人,1978年出生。她的童年可谓非常不幸,原本罗翠芬姓杨,生父叫杨金孔,母亲苏桂花。那个年代还讲究“父母之命,媒妁之言”,母亲嫁过来之前连父亲的面都没见过。婚后的生活发现,两人脾气性格非常不合适。

杨父爱酗酒,喝醉了就殴打苏桂花。没过几年罗翠芬出生了,杨父更加生气,杨母没能给杨家传宗接代,生了个“赔钱货”这些话都被杨家人和街坊邻居挂在嘴边。小时候的罗翠芬跟母亲一样不仅遭受白眼,还要忍受挨打。
苏桂花的性子很软弱,遭受挨打后,不仅保护不了自己,也保护不了女儿。
随着罗翠芬的长大,苏母意识到不能再这么过下去了,忍无可忍下提出了离婚,这也正符合了杨父的心,毕竟苏母也没给家里诞下男丁。苏母带着罗翠芬二婚嫁给了村里的老光棍罗本喜,这才有了“罗”姓。

继父对罗翠芬很好,长大了还张罗着她的婚事,给她选了一个可靠的人周正荣。夫妻俩经济上虽然不富裕,但双方的感情很好。周正荣勤劳踏实,罗翠芬努力上进,俩人的日子过得蒸蒸日上。
本以为平平淡淡一生,却没想到罗翠芬出现了意外。2004年10月的一天,罗翠芬起床为家人准备早餐,突然一阵腹痛让她的身体有些抽搐,她赶紧放下手中的活,直奔厕所。不一会,厕所里就传出了叫声:“快来呀,我尿血了”。
周正荣听到后立即飞奔过去,看着妻子疼痛的模样非常担心,将她抱到床上换下衣服,就直奔卫生所。但村子里的检查有限,医生没办法确定病因是什么,希望他们去大医院就医。从村子到县城的班车不多,这个时间点已经没有了,只能收拾收拾等明天一早前往。

夫妻俩赶了个早班车,到达了云南省的人民医院。医生把罗翠芬带到了检查室,拍了完整的片子。但当医生拿到这张报告片,完全不敢相信自己的眼睛,周正荣见医生迟迟不肯说话便小心翼翼地问:“医生,我媳妇是怎么回事?”
“我从医数十年了,还是第一次看到这样的片子!”医生的话让周正荣心里咯噔一下,莫非得了什么不治之症?心里七上八下的,也不敢再多问。
医生见他脸色煞白就接着说:“这个片子上显示,你太太的体内有二十六根缝衣针,分布在她的全身,头上有,脖子上有,胸腔、小腹还有胯骨上全都是,知道这是怎么回事吗?”

听完这话,周正荣睁大了眼睛,他不敢相信这是真的,“缝衣针?26根,我完全不知道,这还得问问我太太怎么回事。”
罗翠芬知道的时候比周正荣还震惊,这么些年体内有针,自己完全不晓得。医生询问她有什么感觉,罗翠芬只是说平常会有疼痛的感觉,以为是干活累的。
医生告知他们,这些针应该是一岁之前就插进去了,现在必须取出来,不然会危害生命。它们在体内不断游走,伤害性非常高,不过手术要分批进行,手术风险大,手术费大概也要三十万。

听到这个金额夫妻俩沉默了,三十万对于他们来说并不是个小数目,就算去跟亲朋好友借都不见得能凑齐。夫妻俩再三商量决定先回家休养,看后期的情况再做打算。
插入缝衣针的秘密
回到家后,罗翠荣想不通到底是谁,将二十六根针插到自己的体内。医生也说过从这些针插入的情况看,时间已经很久了。今年罗翠芬才二十六岁,她对这些没有记忆,难不成一出生就被人害了,如今能给解释的人只有母亲。
罗翠芬想知道真相,跟丈夫来到母亲的家里询问。苏桂花泪流满面,她以为女儿的身体已经没什么大碍了,所以这件事从未向她提及,既然女儿想知道,那么自己也就没什么好隐瞒得了。当年家里穷,长到十七八岁的时候,媒婆就上门说亲,说的正是杨金孔。

杨金孔并不富裕,能给出的彩礼还是几袋白面。家里实在揭不开锅了,也就将苏桂花嫁了过去。谁知这杨金孔脾气不好,经常对她拳打脚踢,直到发现她怀孕了这才住手。家里的老人对苏桂花也不待见,为了“孙子”也就忍了下来。
可是十个月后,苏桂花生了个女儿,取名杨云芬。杨金孔和父母一脸的不高兴,没一个人在身边伺候月子。那段日子苏桂芬过得甚是艰难,等到女儿出了满月,杨金孔的父亲就拿来了二十六根针要给女儿施针,说这是村头一个“算卦”的女巫出的主意。
在女孩的体内扎入二十六根针,不仅能驱赶灵魂,下一胎还能生儿子。这么荒唐的做法,苏桂花当然不同意,一直保护着女儿不受侵害。他们没办法下手,但第二年苏桂花再次怀孕,又生了下一个女儿就是罗翠芬。这下抱孙心切的杨父就受不了了,他撺掇儿子给女娃施针,趁着苏桂花刚生产完没力气,就抱走了孩子。

罗翠芬听完母亲的话,这才明白,为何父亲这么讨厌自己,为什么爷爷从来不关心她。现在她的体内已经被查出了缝衣针。母亲老泪纵横地看着女儿,口口声声跟女儿道歉,并表示希望她能坚持治疗,还拿出了自己的积蓄,虽然并没有多少。
罗翠芬不想要母亲的钱,也不想住院手术,得知真相后,罗翠芬心里有些崩溃。
取出缝衣针、健康生活
虽说罗翠芬嘴上满不在乎,但心里还是很担忧。因为身体的缘故,二十七岁的她跟同龄人相比差距很多,而且现在一干活,只要过于劳累些都会感受到疼痛。公公婆婆得知后帮着儿子儿媳干了不少事,就连久未露面的杨金孔都给女儿送来了医疗费。
杨金孔说罗翠芬从小也没在身边长大,身体内有针的事,他早就知道,是他对不起女儿,希望女儿能原谅他。罗素芬心地善良,并没有要父亲的钱,对于父亲的做法她没办法反抗,满眼尽是无奈。在家休养了将近三年,罗翠芬的身体每况愈下,已经在痛苦中无法自拔了。各大医院都没有条件给予治疗。

周正荣心急如焚,为了留住妻子的命,他只能求助媒体帮忙。各大媒体平台将罗翠芬的悲惨遭遇进行了详细报道,引起了社会上的热泪关注。最终云南昆明的瑞奇德医院承诺免费为罗翠芬取针。罗翠芬得知后感激不尽,在经过两个多月的讨论和研究后,手术定在了2007年的9月11号。
瑞奇德的手术专家告诉罗翠芬手术要分两次,不可能一次性成功,这过程会是漫长的,要有耐心和决心。罗翠芬点了点头,随后被推进了手术室。在经过12个小时的紧张作业后,罗翠芬体内的13根缝衣针被顺利取出。

针上布满铁锈,还连着体内的肌肉,剩余的十三根缝衣针,由四川原成都军区总医院承诺取出。在看过罗翠芬的病历档案,经开会研究,这次的手术定在半年以后,也就是2008年的2月份举行。
当天上午8点半,全身麻醉的罗翠芬上了手术台,这次亲自操刀的是胸外科主任刘浩。因为第一针要取出来的就肺部的一根,这根针生锈程度严重,周围的肌肉组织也全部发炎了。照这样的情况下去早晚会发生癌变。

除了肺部的缝衣针,最危险的还有肝脏部位的针,足足有四根,且其中一根被折成了两段,这么危险的状况让十几年经验的医生都有些害怕。经过忙碌的十几个小时,罗翠芬体内的13根缝衣针全部被取出,手术结束后刘主任满身大汗。
他表示再取最后一根的时候,他拼尽了全力,因为针在盆腔里,必须借助B超检查,扎入进去的针非常深。他无法想象当年一个几个月的孩子要忍受这样的痛苦是种什么样的折磨。不过好在手术非常成功,只要罗翠芬再休养一段日子就可以出院了。

得知手术顺利结束,罗翠芬留下了激动的眼泪,自从自己知晓病情后,她忍受了太多折磨,这下终于可以过正常人的生活了。术后有记者采访罗翠芬问她对于体内扎针这事,有什么想说的。罗翠芬表示:自己不想追究了,现在能过上平淡的日子,无病无灾就是最好的,
中国有着五千年的文化底蕴,这些沉淀下来的延续,需要我们继承并发扬,但去其糟粕取其精华才能将民族自信推上历史舞台。罗翠芬的一生是幸运的,因为她的到了大多数人的关爱。但她又是不幸的,被一个封建迷信的巫术困扰,让自己的体内插满二十六根针。

不过这场“恩赐”最够弥补二十六年的不幸,希望在以后的生活中,她能够平安顺遂。

